New immersive technology for teaching and learning piloted through existing video-conference software
Thu, 25 Jun 2020 10:00:00 BST
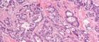
Glasgow team will transform bowel cancer screening into a precision medicine tool using AI
Fri, 03 Jul 2020 09:01:00 BST
Nebu~Flow wins prestigious new Institute of Physics award
Thu, 09 Jul 2020 00:01:00 BST
Top Ten Organisations for Animal Research Announced
Thu, 16 Jul 2020 10:51:00 BST
Former professional footballers have lower risk of mental health disorders
Wed, 22 Jul 2020 00:05:00 BST















