Report published on New Scots Refugee Integration Strategy
Tue, 06 Dec 2022 13:00:00 GMT
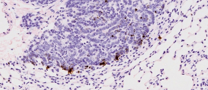
Glasgow scientists discover key to supercharging immunotherapy’s ability to stop breast cancer spreading to the lung
Wed, 07 Dec 2022 15:00:00 GMT
Supporting police in improving procedural justice for rape victims
Mon, 19 Dec 2022 10:06:00 GMT
SAS and the University of Glasgow enter into a new strategic partnership
Wed, 21 Dec 2022 08:00:00 GMT















